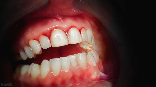
最近有个话题在朋友圈里炸开了锅,那就是“吃瓜牙龈出血不止”的现象。这可真是让人摸不着头脑,吃瓜本应是件快乐的事情,怎么反而变成了痛苦的经历呢?今天,就让我带你一探究竟,揭开这个神秘的面纱。

一、吃瓜牙龈出血,究竟是怎么回事?
首先,我们要明白,吃瓜牙龈出血并不是个别现象,而是很多人都会遇到的问题。那么,这究竟是怎么回事呢?
1. 牙龈敏感
吃瓜时,如果牙龈本身就比较敏感,那么在咀嚼的过程中,牙龈就会受到刺激,导致出血。这种情况在牙齿排列不齐、牙齿缺失或者牙齿矫正期间的人身上更为常见。

2. 牙周病
牙周病是导致牙龈出血的主要原因之一。牙周病是一种慢性炎症性疾病,如果不及时治疗,会导致牙齿松动、牙龈出血等症状。

3. 口腔卫生不良
口腔卫生不良也是导致牙龈出血的一个重要原因。如果平时不注重口腔卫生,食物残渣、细菌等会堆积在牙齿和牙龈之间,导致牙龈炎症,进而引发出血。
4. 缺乏维生素C
维生素C是维持牙龈健康的重要营养素。如果体内缺乏维生素C,就会导致牙龈出血、肿胀等症状。
二、如何预防吃瓜牙龈出血?
了解了吃瓜牙龈出血的原因,接下来,我们就来聊聊如何预防这个问题。
1. 注意口腔卫生
每天早晚刷牙,饭后漱口,定期使用牙线清理牙缝,保持口腔清洁。
2. 定期检查口腔
每年至少进行一次口腔检查,及时发现并治疗口腔问题。
3. 增强牙龈抵抗力
多吃富含维生素C的水果和蔬菜,如橙子、柠檬、西红柿、黄瓜等。
4. 避免过硬、过热、过冷的食物
吃瓜时,尽量选择软糯的瓜类,避免过硬、过热、过冷的食物刺激牙龈。
5. 改善饮食习惯
减少辛辣、油腻、刺激性食物的摄入,多吃清淡、易消化的食物。
三、吃瓜牙龈出血怎么办?
如果不幸出现了吃瓜牙龈出血的情况,也别慌张,以下方法可以帮助你缓解症状:
1. 冷敷
用冷水或冰块敷在出血的牙龈上,可以起到收缩血管、减轻出血的作用。
2. 使用消炎牙膏
选择含有消炎成分的牙膏,如含有氯己定的牙膏,可以帮助缓解牙龈出血。
3. 注意休息
保证充足的睡眠,避免过度劳累,有助于牙龈恢复。
4. 及时就医
如果牙龈出血情况严重,或者持续不愈,应及时就医,以免延误病情。
四、吃瓜牙龈出血,你中招了吗?
现在,让我们来做个小测试,看看你是否也中了吃瓜牙龈出血的“毒”。
1. 吃瓜时,牙龈经常出血吗?
2. 牙齿排列不齐,或者有牙齿缺失的情况吗?
3. 口腔卫生状况不佳,经常有食物残渣堆积在牙缝中吗?
4. 平时饮食不规律,缺乏维生素C的摄入吗?
如果你中了其中两个或以上问题,那么你可能就是吃瓜牙龈出血的“受害者”了。
吃瓜牙龈出血虽然让人烦恼,但只要我们注意口腔卫生,改善饮食习惯,就能有效预防这个问题。当然,如果情况严重,还是要及时就医。希望这篇文章能帮助你了解吃瓜牙龈出血的真相,让你在享受美食的同时,也能保护好口腔健康。
本文由admin于2026-02-06发表在 每日黑料,如有疑问,请联系我们。
本文链接:https://www.cn-52chiguawang.com/post/1287.html
上一篇
边吃瓜边生意怎么样